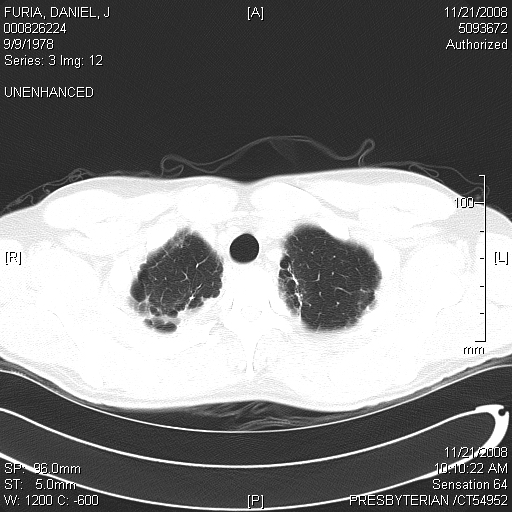
Lung Blebs



"Blebs" are weak spots that form at the top of the lung. These weak spots can leak air and cause a lung to collapse. This image shows dozens of small blebs on each of my lungs. This cat scan image was taken from above, looking down on to the top of the lung. (In other words try to imagine that you are floating up above me, looking down at the top of my head. If you could see layer by layer into my body, like the CT scan, you would then eventually see the tops of my lungs). The big dark black circle in the middle of the image is my windpipe.


Cedars Sinai Hospital in Los Angeles




Before this particular lung surgery they wrote "Yes" on my arm to indicate the correct side



My left lung about 25% to 40% collapsed





Some other CAT Scan Images I thought looked neat (healthy lung, not collapsed):